Ankle Arthrodesis
 

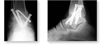
Arthrodesis is defined as the surgical fusion of a joint. Triple arthrodesis involves the fusion of the calcaneocuboid, talonavicular, and talocalcaneal ( i.e. subtalar) joints in the hind foot with bone graft material and internal fixation ( e.g. cannulated screws, bone staples).

Today, orthopaedic surgeons perform triple arthrodesis procedures for correction of marked varus or valgus deformities from residual clubfoot, cerebral palsy, and Charcot's joint disease (i.e. neuropathic arthropathy of hind foot); chronic acquired flatfoot from end - stage posterior tibial tendon ruptures;arthritis and arthritic conditions of hind foot.

An ankle arthrodesis is an operation that glues together or fuses the ankle joint. The ankle joint is responsible for more than 75% of the up and down movement of the ankle. With the ankle fused, no further upward movement is present but a limited amount of downward movement is possible. The in and out movement of the heel joint is not affected by an ankle fusion.

Why Triple Ankle Arthrodesis?

A triple ankle arthrodesis may be used to treat conditions such as significant foot deformities, prevention of foot instabilities, pain relief, and improvement in foot function so patients can wear shoes.

Contraindications for triple ankle arthrodesis include instances in which it is more appropriate or less extensive surgical procedures would suffice. Alternative surgical procedures may include tendon transfers for correction of hind foot mobility deformities or isolated joint arthrodesis of Chopart's (i.e. transverse tarsal) joint, depending on the specific joints and deformities involved.

 

Choosing A Triple Ankle Arthrodesis

Not everyone who has ankle problems will need to have a Triple Ankle Arthrodesis. If you have any of these conditions and wish to be advised on the most appropriate treatment alternatives, please call on 09 522 2980 during office hours to schedule an appointment.